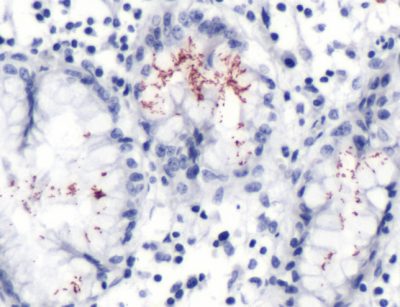
The H. (Helicobacter) pylori are known to cause chronic gastritis and peptic ulcers in humans. It is also associated with duodenal ulcers and could be involved in the development of adenocarcinoma or low-grade lymphoma of the mucosa associated with the lymphoid tissues of the stomach. It is designed for research purposes and has no known clone. The immunogen is the purified Helicobacter pylori. It also has a Rabbit IgG isotype and an undetermined epitope. It has no molecular weight, and it has been tested on humans.
Applications
The H. Pylori antibody is designed to be used with Immunohistochemistry applications. To begin, you’ll want to use Formalin-fixed or paraffin-embedded tissues. The use of deparaffinized slides are essential, and you can use xylene and its alternatives, as well as graded alcohols.
When using the concentrated version of the formula, you’ll need to dilute the antibody using a ratio of 1:100. However, the dilution is an estimate as your protocols and methods may be different. You can also find a pre-diluted format of the product, which is suitable for IHC procedures.
To retrieve the antigen, you’ll need to boil the tissue section in a 10mM Citrate buffer with a pH of 6.0. Do this for 10 minutes and allow it to cool to room temperature for 20 minutes. Once it has cooled the appropriate amount of time, you will incubate at room temperature for 30 minutes more.
You should rinse the slides with PBS/0.05% Tween between steps.
The positive control is the Helicobacter pylori-infected tissue with cellular localization occurring in the Helicobacter pylori.
Purchase Options
You can find 0.1, 1.0, and 0.5 ml versions that will need to be diluted, as well as a 7.0ml pre-diluted formulation.
The H. Pylori antibody can help you spot gastritis and peptic ulcers. Visit Spring Bioscience today to learn more and make your purchase.





